Kim's Neuroblastoma IV,
N-Myc amplification

home - Kim Juana von Habsburg
Coming soon!

We'll put our experiences here and explain a bit more on our emotional journey.

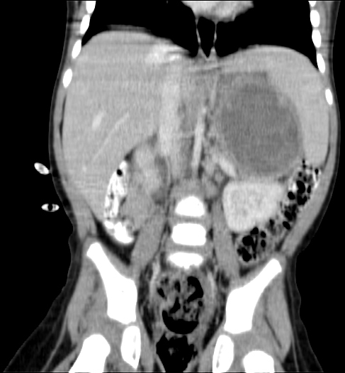
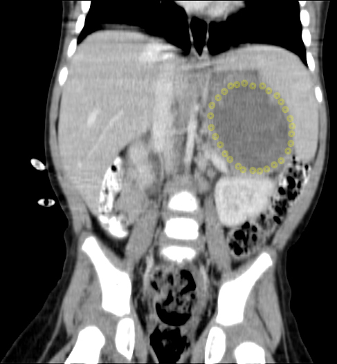
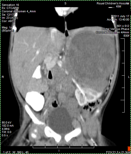
CT (CAT) scan 17July 2011

CT (CAT) scan 25 August 2011

 

For a (clinical) detailed day to day diary go to Daily History.